도움이 될까? 동네이름 박춘묵 원장 심근경색 후 T3 갑상선 호르몬 보충하는 게

■심근경색 후 T3 갑상선 호르몬 보충은 도움이 된다?

심근경색과 같은 중대한 상황이 발생하면 freeT3와 같은 갑상선 호르몬은 그 수치가 수십 분 이내에 떨어질 수 있습니다.

free T4나 TSH는 그 정도로 심한 상황까지 가야만 변수가 있기 때문에 T3만 떨어지는 이런 경우(대부분 질병에서는 전부~)를 low T3 syndrome 또는 euthyroid sick syndrome 이라고 합니다.

freeT3는 세포의 대사와 밀접한 관련이 있기 때문에 이 수치가 급격히 떨어지면 세포의 대사율이 낮아집니다.

염증이 생기면 세포내 활성산소(ROS)가 급증할 수 있으므로 미토콘드리아를 보호하기 위해 대사를 차단하는 보호조치일 수 있습니다. 이에 관한 블로그는 아래 링크를 참고해 주십시오.

http://thecleanclinics.com/221955246748■ 저산소증(Hypoxia)의 경우 세포내 활성산소종(ROS)이 증가함?저산소증이면 산소가 부족할 텐데…thecleanclinics.com

에너지대사의 최종적으로는 미토콘드리아 내의 전자전달계로 전자가 흘러들어가고 전자가 과잉되면 이중 leakage 되는 것 중에서 superoxide가 필연적으로 생기므로

염증이 생기는 상황에서 세포 보호 차원에서 생리적으로 freeT3가 떨어진 적도 있고, 아니… 병적으로 떨어진 것이다.이런 논쟁이 있었어요

그런데 흥미로운 연구가 하나 있었어요.

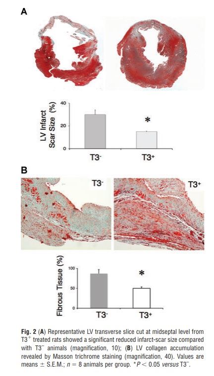
쥐 실험인데…쥐의 관상동맥 하나를(ant. interventriculartery) 묶어서 72시간 후에 채혈을 하고 부검을 했다고 합니다.가만히 내버려둔 너(control, SHAM)와 T3를 준 너(T3+)와 안준군(T3-)을 구분했는데…

문제가 생기면 당연히 fre eT3(ft3)이 떨어지겠죠? 그게 회복될 정도로 T3를 보충해서 주사로 주도록 하겠습니다

그랬더니 결과가 흥미롭대요.

T3 준 군의 심장박동 혈압 정도가 좋았다

T3에서 심근 생존율이 50% 증대하고 모세혈관도 많아 심박출량이나 혈압, 맥박수가 모두 높고 심부전으로 진행도 줄어든다는 겁니다 이 이유가 뭔가 했더니?

A. 심근경색 흉터 크기를 비교하면 T3 준 군이 더 작았던 B. 콜라겐 축적도 T3 준 군이 더 적었다

심근경색 근위부: Border zo ne 심근경색 원위부: Remote zone

T3 준 군 가운데 혈관이 더 많았고 죽은 세포가 더 적었다.T3를 부여한 군에서 미토콘드리아의 생합성 등에 관련된 PGC-1a와 mt-TFA(mitochondrial transcription factor A)가 증가하여 아마도 미토콘드리아의 생합성률과 생합성성이 증가했기 때문일 것입니다.

물론 심근 경색의 발생 72시간 후에 투여하고 4주 정도 투여 후에 검사한 것입니다.이게 또 왜 중요할까?

심근 경색의 발생 직후에 혈관을 빠져나와 혈류가 흐르면 재관류 손상이 일어나는 것입니다.심근 세포 내의 혈류가 도달하지 않고 산소가 부족하면 미토콘드리아 complex IV가 약간 막힌 상태가 됩니다.(산소가 있어야 대사가 된다) 이때 혈류가 와서 전자전달계 안으로 신진대사가 흐르면 complexI와 III에서 전자가 누출되면 superoxide가 더 생기지 않습니다.산소를 다시 한번 주세요.

뿐만 아니라 Xanthine oxidase, NADPH oxidase가 산화됨과 동시에 superoxide가 더 발생하여 세포내 손상이 심근경색 범주가 증가합니다.

물론 빨리 열어주는 것이 가장 좋지만, 재관류 손상을 입을 수 있는 시술 직후에 freeT3 교정을 한다고 T3 제제를 퍼부어 대사율을 높이면 아마 심근경색 사망률이 오르지 않을까 생각합니다.

심근경색 후 몇 시간 후 T3를 교정하는 것이 좋은가. 당연히 데이터는 없습니다. 환자가 어느 정도 호전반응을 보이고 뭔가 toxic한 부정맥 등이 없을 경우 T3에 대한 검사와 치료를 고려할 수 있지 않을까요? (cf> 평소 freeT3 낮다고 해서 사실 병은 아닙니다.식이에 따라서도 생리적으로 바뀝니다. 무조건 표준치로 올려도 안되며, 표준값 참고 카테고리의 설정 자체도 잘못된 것 같습니다.)

신생아 심근세포에 H2O2로 해를 끼친 후 T3 제제를 추가한 실험에서도 나름대로 좋은 결과가 있었는데, 이는 실험실 가격이고 혈류가 흐르는 상황에는 차이가 있지 않을까 싶습니다.

심근경색 초기에 시술하는 즉시 글루타치온이나 항산화 용량의 저용량 비타민C 주사를 맞고 안정되면 심근 자체의 회복을 높이기 위해 소량의 테트로닌(T3제제)을 줄 수는 있지만…

심근경색 후 이런 항산화주사 치료에 대한 데이터도 별로 없고 테트로닌을 준 사례도 없을 테니 심장내과 교수님들이 이걸로 논문을 써주시면 좋겠습니다.

기초 논문은 있는데 사람을 대상으로 한 임상 연구가 없어서 충분히 논문은 싫은 게 되지 않을까 싶습니다

대한기능의학회에서 갑상선 기능에 대한 강의 준비를 하려고 이곳저곳 살피면서 재미있는 것이 보여 공유했습니다.

예약 방법은 아래 링크를 참고해주세요

http://thecleanclinics.com/221634573393 을지로 더맑은클리닉(더맑은가정의학과의원)이 2019년 9월부터 스마트폰 앱 ‘톡톡’을 이용한 예약제 실시.thecleanclinics.com

닥터피엔티 PNT몰 www.pntmall.comwww.dr1004.co.kr 병원전용 건강기능식품, 건강보조식품 판매 www.dr1004.co.kr

error: Content is protected !!