터너 증후군은 무엇입니까?괜찮아요?
안녕하세요 저는 저통증의학과 원장 이상준입니다.
오늘은 드물지만 성염색체 질환 중 하나인 터너 증후군에 대해 알아볼까 합니다.
이 질병은 사실 완치되는 질병이 아닙니다, 그러나 사춘기 이전에 빠른 진단을 통해 조기에 치료하면 증상을 줄이고 보다 삶의 질을 높일 수 있습니다.
Turnersyndrome이란?

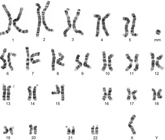
정자와 난자가 수정되는 과정에서 부모로부터 성염색체를 받게 되는데 각각 X염색체를 하나씩 받아 XX의 한 쌍의 염색체가 이뤄지면 여성,
아버지로부터 Y염색체, 어머니로부터 X염색체를 받으면 남성으로 태어납니다.
그런데 만약 부모로부터 물려받은 X염색체가 잘못 만들어진 정자나 난자에서 하나를 받지 못하거나 물려받은 X염색체에 문제가 생기면 발생하는 질병입니다.
염색체의 이상으로 인해 다양한 증상이 나타납니다.
증상은?염색체의이상으로인해여러가지증상이나올수있지만거의외형에문제가없는경우도있습니다.
자라면서 다양한 증상이 나타나게 됩니다.
- 유아기의 증상

유아기에는 특징적인 외모가 나타날 수 있으며 이를 보고 의심하게 됩니다.
a) 넓거나 물갈퀴처럼 생긴) 약간 낮은(높이의 귀) 가슴이 넓고 유두 간격이 멈춘다) 출생 시 평균 키보다 약간 작은(ㅁ) 성장이 느린(f) 손가락과 발가락이 짧다.
g) 심장질환을 동반하기도 합니다.
2)청소년기의 증상

a) 성장이 예상보다 느린) 사춘기의 예상되는 성적 발달이 나타나지 않는(c) 생리주기의 조기 종료d) 대부분의 경우 아이의 임신이 어렵다.
이러한 증상은 때로는 현저하게 나타나지 않을 수 있으며 터너 증후군이 의심되는 경우에는 유전자 검사를 실시해야 합니다.
이외에도 다양한 건강 문제가 있을 수 있기 때문에 종합적으로 큰 문제가 없는지 살펴봐야 합니다.
치료는?

주사 치료 예
환자가 상당수의 신체적, 성적 발달에 뒤처지기 때문에 앞으로 맞춰 치료를 진행하게 됩니다.
보통의 경우 성장호르몬과 여성호르몬을 투여함으로써 발달을 도와줍니다.
정기적으로 검진을 하여 다른 건강문제도 알아보고 발달을 도와 삶의 질이 크게 달라질 수 있으므로 반드시 적극적인 치료를 해야 합니다.
터너 증후군이 의심되는 경우 가까운 대학병원에서 유전자 검사를 포함한 진료를 받으시기 바랍니다.
수지 지음 통증의학과 원장 이상준